E-Wurf

 

Baya hat am 09.04.2019 durch einen Kaiserschnitt 7 gesunde Welpen zur Welt gebracht.

Ich freue mich über 4 Rüden und 3 Hündinnen.

 

3/3 Welpen nach Iwaks Thunder de la Terre des Flandres

1/0 nach Izzat Angel of the Moon

 

Enfant de Baya Enox von den Hohenheimer Herdern

HD: A2 | ED: 0-0 |  LÜW: Grad 0 | Idiopathische Epilepsie

Enox mit 7 Wochen & 3 Tagen
6 Wochen
5 Wochen

Enfant de Baya Esko von den Hohenheimer Herdern

HD: A1 | ED: 0-0 |  LÜW: Grad 0 | OCD: frei | Spondy: 0

Esko mit 7 Wochen & 3 Tagen
6 Wochen
5 Wochen

Enfant de Baya Pacco von den Hohenheimer Herdern

HD: B1 | ED: 0-0 |  LÜW: Grad 1  | OCD: frei | Kryptorchide

Pacco mit 7 Wochen & 3 Tagen
6 Wochen
5 Wochen

Enfant de Baya Baco Bagheera Baxtav von den Hohenheimer Herdern

HD: A1 | ED: 0-0 |  LÜW: Grad 0 | Spondy: frei

Bagheera mit 7 Wochen & 3 Tagen
6 Wochen
5 Wochen

Enfant de Baya Lady Lavande von den Hohenheimer Herdern

HD: A1 | ED: 0-0 |  LÜW: Grad 0 

Lava mit 7 Wochen & 3 Tagen
6 Wochen
Lava mit 5 Wochen

Enfant de Baya Emily von den Hohenheimer Herdern

HD: A1 | ED: 0-0 |  LÜW: Grad 0 

Emily mit 7 Wochen & 3 Tagen
6 Wochen
5 Wochen

Enfant de Baya Pema von den Hohenheimer Herdern

Pema mit 7 Wochen & 3 Tagen
6 Wochen
5 Wochen

 

Weitere Bilder der Welpen gibt es in der Galerie.

 

Geburtsgewichte

 

Rüde schwarz Geburtsgewicht: 435g
Rüde braun: Geburtsgewicht: 325g
Rüde blau: Geburtsgewicht: 313g
Rüde grün: Geburtsgewicht: 213g
Hündin lila: Geburtsgewicht: 429g
Hündin rot: Geburtsgewicht: 408g
Hündin orange: Geburtsgewicht: 391g

Die Eltern sind

Amy´s Baya von den Hohenheimer Herdern 

 

HD A1

 

ED 0-0  

 

LÜW 1 (D) 2 (CH)

 

Spondy frei 

 

DM N/N  

 

SDCA 1 & 2 N/N  

 

kbr/kbr

 

&

Izzat Angel of the Moon

(HD A | ED 0-0 | LÜW 0 | DM N/N | SDCA 1 & 2 N/N | PL 0-0 | Spondy & OCD frei | DM N/N | CSAU TC | TAT)

 

 IK 0,2% AVK 93,55% auf 5 Generationen.

Iwaks Thunder de la Terre des Flandres

(HD A | ED 0-0 | LÜW 0 | DM N/N | SDCA 1 & 2 N/N | kbr/ky | Br. Ring | OB 1 | Br. Obe | CSAU)

 

  IK 1,37% AVK 91,94% auf 5 Generationen.

Die Eltern sind im Wesen offen, freundlich und sozial.

Sie sind temperamentvoll und besitzen ausgeprägte Arbeitsfreude in verschiedenen Bereichen

Ich erwarte also wieder kleine Allrounder!

Die Doppelbelegung:

 

Aus dieser Doppelbelegung erhoffe ich mir einen gemischten Wurf, also Welpen von beiden Vätern. 

 

Lange habe ich überlegt, ob Baya aufgrund des lumbosacralen Schaltwirbel Befundes, einen weiteren Wurf haben soll und habe mich dafür entschieden. Leider ist der "Erbgang" / die "Vererbung" nicht zu definieren.

 

Baya´s erster Deckpartner hat leider auch einen LÜW 1 und entstammt einer LÜW belasteten Familie. Ich erhoffe mir durch die Doppelbelegung mit 2 freien Rüden zu sehen, wie Baya den Schaltwirbel mit anderen Deckpartnern vererbt bzw. eben nicht vererbt. Ich freue mich sehr, dass Marie und Sandra mir ihre Rüden zur Verfügung gestellt haben.

 

Auch bin ich sehr gespannt wie sich die Welpen optisch und charakterlich entwickeln, ob sie sich stark unterscheiden werden... Natürlich erhalten alle Welpen einen Abstammungsnachweis um den richtigen Vater in der Ahnentafel aufzuführen.

 

Die Auswirkung eines LÜW ist nicht erforscht, ich bin aber überzeugt, dass ein LÜW Befund nicht mit einer Krankheitsdiagnose gleich zu stellen ist.

Babybauch

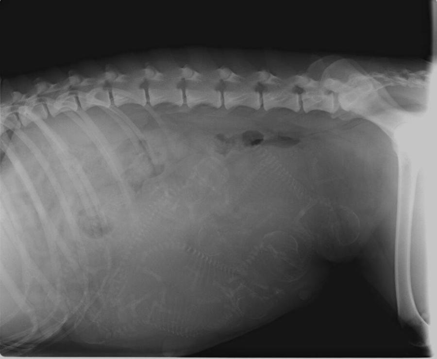
Röntgen 01.04.2019

Wir haben 7 Welpen gezählt!

Ultraschall 01.03.2019

Wir haben 6-7 Fruchtblasen gezählt, ich bin sehr gespannt!

Beschreibung zu Izzat:

 

Izzat, genannt Zack, zeichnet sein stest freundlicher und aufgeschlossener Umgang mit Menschen und Kindern aus. Er genießt jede Zuwendung. Zack lebt in einem Rudel mit 4 anderen Rüden und 1 Hündin. Er ist nicht als Welpe, sondern als erwachsener Rüde in das bestehende Rudel gezogen un hat sich ohne Probleme eingefügt. Zack arbeitet stets motiviert und mit großer Freude, manchmal neigt er zu Übermotivation... Besondere Freude hat er bei der Arbeit mit der Beute und im Schutzdienst. Hauptsächlich wird er in der Rettungshundearbeit (Flächensuche) ausgebildet und hat seine erste Prüfung erfolgreich absolviert. 

 

Champion CS, Champion EN of France!

 

Beschreibung zu Iwaks:

 

Iwaks, genannt Waks oder Wawaks, ist ein Hund der einen sehr engen Kontakt zu seiner Bezugsperson hat. Er ist liebevoll mit seiner Familie und genießt seine Kuscheleinheiten auf dem Sofa. Waks ist ein charakterstarker Hund mit einer großen Portion Durchsetzungskraft, ein aufmerksamer Wächter, sehr dynamisch, lernt sehr schnell. Fleißig und unermüdlich möchte er neue Dinge lernen. Waks liebt Beute und ganz besonders seinen Ball. Auf Spaziergängen bleibt er immer in der Nähe und zeigt keinen Jagdtrieb.

 

Champion Young Luxembourg Champion, IB Champion of Luxembourg, Champion National des CACS of France!

Izzat Angel of the Moon:

 

 

Iwaks de la Terre des Flandres:

 

NEWS

 

28.12.2024

 

Für mich geht ein Jahr voller Emotionen zu Ende. Mein Seelenkind... weiterlesen

 

GESTÖRT ABER GEIL!!!

 

Aktualisiert am:

28.12.2024

 

Jolly Punky´s Nero von den Hohenheimer Herdern
Druckversion | Sitemap
© Sharleena Hauser